Radiante Dental logo and branding graphic | Radiante Dental | Top rated cosmetic dentist near me

Tooth Contouring

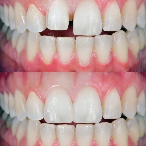
Tooth Contouring in Elmhurst, IL and Surrounding Areas

Even small changes can make a big difference in your smile. Tooth contouring, also known as enamel reshaping, is a quick, painless procedure that smooths uneven edges, fixes minor chips, and refines the shape of your teeth for a more balanced look. At Radianté Dental and Facial, our skilled cosmetic dentist in Elmhurst, IL, offers contouring treatments that deliver subtle yet stunning results. Call (630) 834-8088 to schedule your visit!

How Tooth Contouring Works

Using specialized tools, we carefully reshape tiny amounts of enamel to create a natural, harmonious appearance. It’s a one-visit treatment that requires no recovery time—perfect if you want instant improvements.

Tooth contouring before and after illustration | Radiante Dental | Professional teeth whitening Oakbrook IL

When to Consider Tooth Contouring

Tooth contouring before and after illustration | Radiante Dental | Professional teeth whitening Elmhurst IL

This procedure is ideal for patients with small chips, slightly irregular teeth, or minor overlaps. Tooth contouring is often combined with whitening or bonding for a more complete smile makeover.

Achieve a polished, picture-perfect smile with tooth contouring. Call us today at (630) 834-8088!

Contact Us Today To Schedule Your Appointment

Whether you’re looking for complete dental care or advanced facial aesthetics, our team is here to help you look and feel your best. Schedule your appointment today and take the first step toward a healthier smile and renewed confidence.